Cervical Fusion
Anterior cervical discectomy and fusion, also known as ACDF, is the optimal surgical treatment of disc herniations, instability or degenerative changes in the cervical spine [neck].
;

Cervical Fusion
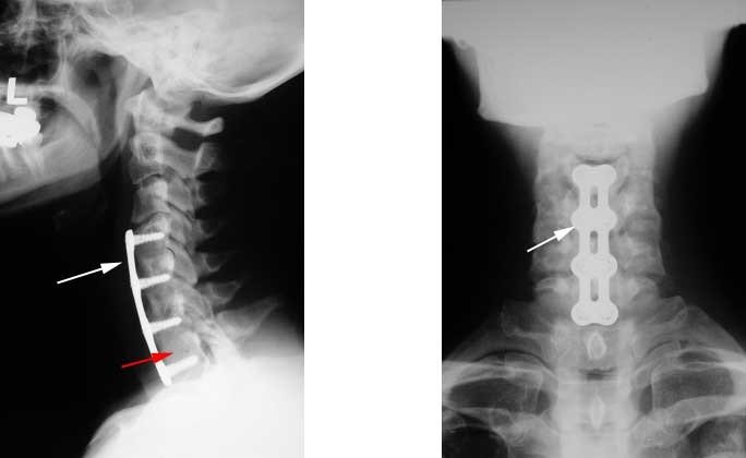
Anterior cervical discectomy and fusion, also known as ACDF, is the optimal surgical treatment of disc herniations, instability or degenerative changes in the cervical spine [neck].
A small incision is made in the front of the neck; the incision usually leaves minimal scarring depending on the number of levels requiring treatment. Disc material is removed and replaced with bone graft. This graft can be from the patient’s hip area or from a cadaver. Graft taken from the hip area has increased discomfort for the patient which may last an extensive amount of time. Graft taken from the cadaver is obviously less traumatic to the patient but carries additional risk of infection or rejection.
After placement of a graft in the disc space, a metallic plate is placed to lock the vertebrae and the bone graft. The plate helps increase the success of the fusion surgery.
Below, the red arrow point to bony plugs placed in between the vertebrae. The titanium plate is marked with the white arrows.












































